Various techniques and methods based either on grafting of the fresh extraction socket (ridge preservation) with different materials and delayed implant placement or on immediate implantation with grafting of the gap between implant and socket wall have been applied in order to prevent ridge alterations after tooth extraction. However, insights concerning superiority of the type of grafting technique or material are scarce.1, 2
Partial extraction therapy, leaving either the whole root (root submergence therapy) or the buccal part of the root (socket shield technique) of hopeless teeth inside the extraction socket, may have clinical significance as an alternative to conventional preservation procedures. These techniques are based on the observation, made already 80 years ago, that resorption of the bundle bone within the extraction socket may be reduced by leaving the root or a root fragment inside the socket, attached by a healthy periodontal ligament to the buccal socket wall, providing good blood supply to the hard and soft tissue.3–5 This procedure was forgotten until 2007, when Salama et al. published a case report showing an implant-supported bridge with perfectly maintained hard and soft tissue by leaving a root submerged in the pontic area.6 Likewise, the socket shield technique has been shown to be an efficient technique for reducing the amount of post extraction ridge resorption as well.5 The present case report introduces ridge preservation with root submergence therapy and the socket shield technique, as well as augmentation with particulate autologous dentine, in the course of an implant and prosthetic rehabilitation in a partially edentulous maxilla.
Patient situation
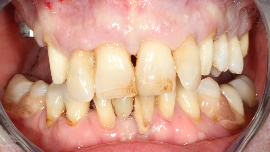
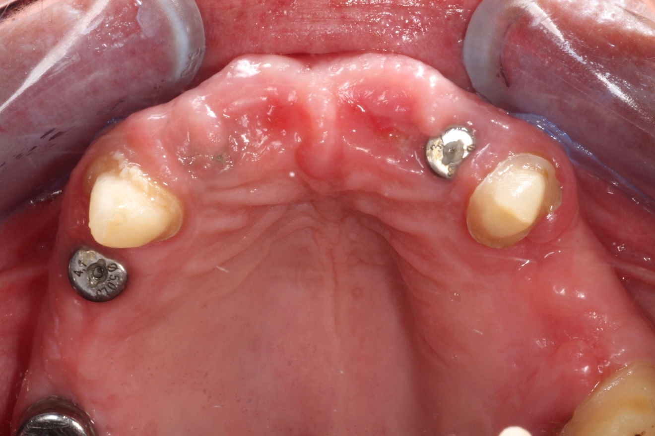
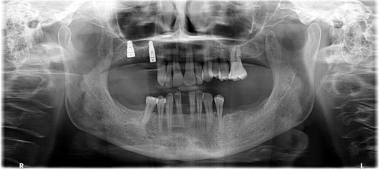
The 58-year-old, non-smoking and systemically healthy female patient was referred by her dentist to our dental clinic for implant treatment. The patient’s main complaints were poor aesthetics in the upper jaw, including a high smile line and distinct tooth pattern anomalies in the anterior maxilla (Figs. 1 & 2), as well as masticatory discomfort. Teeth #17, 15 and 27 were missing and had not undergone any prosthetic treatment, whereas the five missing teeth in the premolar and molar areas on both sides of the mandible had been replaced with a removable partial denture. All remaining teeth were affected by Stage IV periodontitis according to the 2017 Classification of Periodontal and Peri‐implant Diseases and Conditions, displaying a mean periodontal pocket depth of 5.6 mm.7 Mean bleeding on probing and mean plaque index were 70% and 80%, respectively. With respect to periodontal parameters, as well as to oral hygiene measures (visible calculus and dental plaque), the patient’s oral hygiene was graded as poor. The patient had been treated elsewhere with two implants in the posterior maxilla in order to replace the right first premolar and first molar (Fig. 3). She had a thick flat biotype, according to a definition introduced in 1977.8, 9
After obtaining informed consent from the patient, we would start dental rehabilitation in the maxilla, and we opted for a two-stage surgical approach after initial therapy. Initial therapy would consist of systematic periodontal treatment and regular recalls with instructions and checks for dental hygiene over a period of three months. The first stage of rehabilitation of the maxilla would consist of partial extraction therapy in conjunction with Type 1 implant placement in the regions of the teeth #12 and 22 according to the Proceedings of the Fourth ITI Consensus Conference and ridge preservation in the region of teeth #24 and 25 with particulate dentine, obtained and processed from the two extracted left maxillary premolar teeth.10 Owing to increased tooth mobility and the obvious poor buccal bone volume, as displayed on the CBCT scan (CRANEX 3D Ceph, Soredex, KaVo Kerr), regions #11 and 21 were not suitable for the socket shield technique in conjunction with implant placement (Fig. 4). Both central incisors were to be treated with the submerged root technique instead, in order to prevent damage of the buccal socket wall and volume loss of the alveolar ridge after tooth extraction. With both roots in place, a physiological pontic site development for the definitive restoration would be enabled. Based on periodontal re-evaluation after the initial therapy, only the two maxillary canines were considered worth preserving. The left first molar was to be temporarily retained in order to serve, in conjunction with the two canines, as an additional abutment tooth for fixation of the temporary bridge during the healing period. Crown preparation of the three remaining teeth would be done before surgical treatment, in order to prefabricate a temporary bridge for immediate fixed provisionalisation after the first surgery. The second surgical stage would consist ofimplant placement in region #24, performing of the socket shield technique on the mesiobuccal root, submersion of the distobuccal root and extraction of the palatal root of tooth #26 before immediate implant placement. Definitive prosthetic treatment would be performed after a transgingival implant healing period of at least three months, applying a conventional implant loading protocol with fixed bridges.11
Surgical intervention
Both surgical interventions were performed under local anaesthesia, and antibiotic medication (a single dose of 2 g of amoxicillin) was administered 60 minutes before surgery. The first stage of rehabilitation of the maxilla involved immediate implant placement in the post-extraction sockets of both lateral incisors in combination with the socket shield technique for the right lateral incisor. Owing to an increased tooth mobility of more than Grade II, the socket shield technique was contra-indicated for the left lateral incisor and both premolars. The clinical crowns of both central incisors were decapitated, and the roots were carefully prepared with a round diamond bur under rinsing with sterile saline solution, until both cranial root edges reached a distance of 3 mm from the gingival margin (Fig. 5). In the right lateral incisor site, a socket shield was prepared as described by Gluckman et al.12 The extracted premolars were mechanically cleaned and then dried and processed with the Smart Dentin Grinder (KometaBio) according to the manufacturer’s recommendations.13 After implant site preparation, particulate dentine was applied into the prepared left lateral incisor implant site, and both extraction sockets of the left premolars (Fig. 6). Implant placement was performed in the extraction sites of both lateral incisors with two BEGO Semados RSX implants (BEGO Implant Systems) with a length of 13.00 mm and a diameter of 3.75 mm (Fig. 7). Peri-implant gaps were grafted with particulate dentine autograft and sealed with platelet-rich fibrin (PRF) membranes using the Poncho technique.14 After buccal and palatal tunnel preparation, the premolar extraction sockets and submerged left central incisor root were covered with PRF membranes, prepared according to the Choukroun method (A-PRF, mectron) after centrifugation at 1,300 rpm for 13 minutes.15 The right central incisor was covered with a connective tissue graft harvested from the palatal mucosa of the first quadrant. Covering membranes and the connective tissue graft were introduced into the buccal and palatal tunnel preparations and fixed with absorbable monofilament #5/0 suture thread (Serafast, Serag Wiessner; Fig. 8). The postoperative radiograph showed adequate root submersion of the central incisors, correct implant positioning in the lateral incisor sites and proper filling of both premolar extraction sockets (Fig. 9). The patient was provided with the fixed provisional bridge (Fig. 10) and prescribed amoxicillin (1 g three times a day for five days after surgical intervention). Postoperative healing was uneventful.
Fig. 4: CBCT scan showing the bone condition of the maxillary teeth. Vertical resorption and reduced thickness of the buccal bone plate of the right and left central incisors were evident.
Fig. 5: Clinical situation after partial extraction of tooth #12, extraction of tooth #22, and root submersion of teeth #11 and 21.
Fig. 6: Clinical situation after extraction of teeth #24 and 25 and augmentation with autologous dentine.
Fig. 7: Immediate implant placement into the fresh extraction socket of tooth #22 after ridge grafting with autologous dentine.
Fig. 8: Clinical situation after completion of first-stage surgery.
Fig. 9: Radiograph after first-stage surgery.
Fig. 10: Temporary bridge
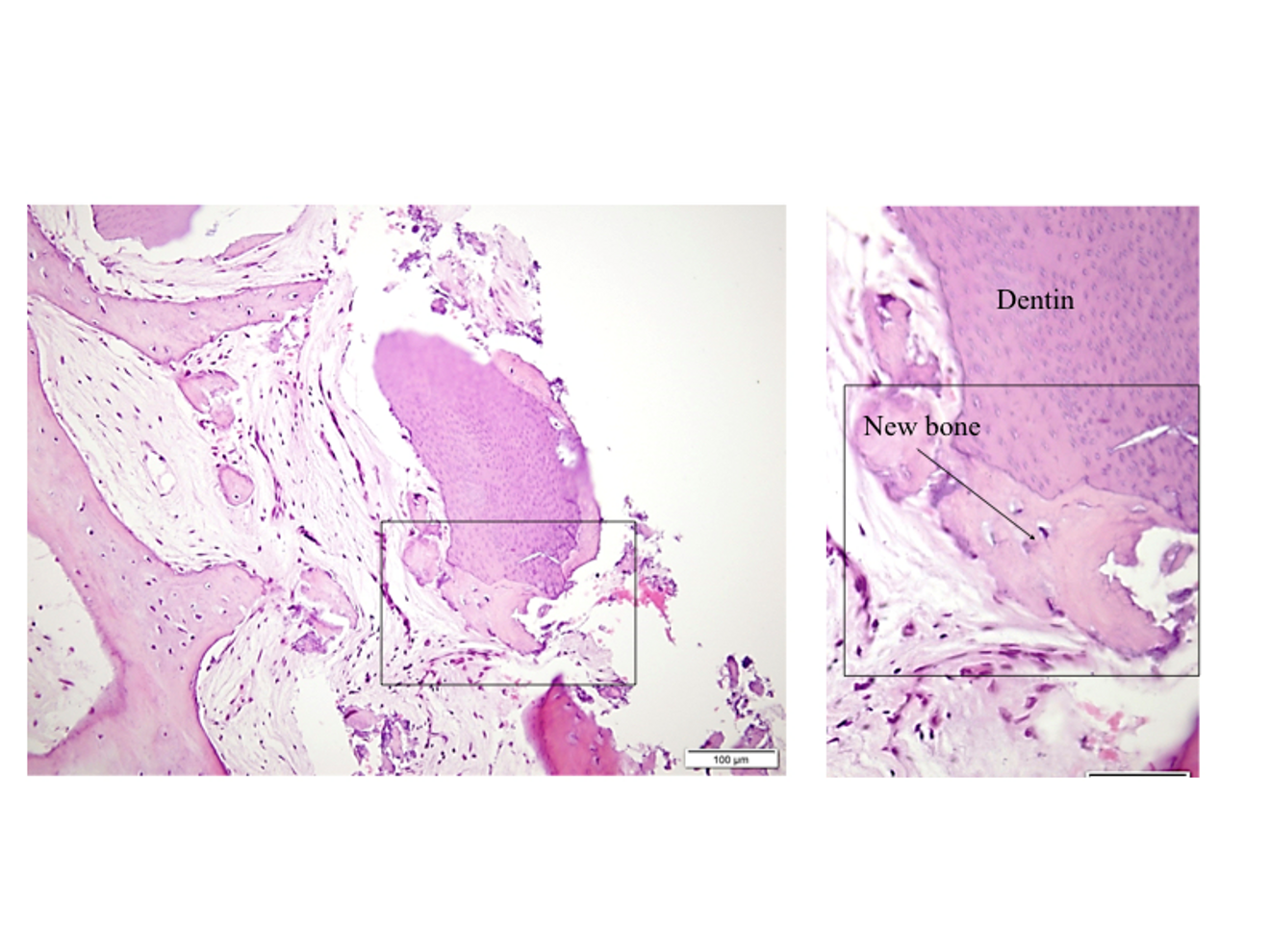
At the time of the second surgical intervention, three months after the first surgery, no obvious volume loss of the maxillary alveolar crest was noticed (Fig. 11). Second-stage surgery was performed in the left posterior maxilla with an open flap approach. After elevation of the mucoperiosteal flap, very good preservation of bone volume was observed, indicating successful ridge preservation by means of particulate dentine as the augmentation material (Fig. 12). Partial extraction therapy was performed for the right first molar. After decapitation, socket shield therapy of the mesiobuccal root and submersion of the distobuccal root was performed. After extraction of the palatal root, the implant site was prepared in the septum and the sinus membrane was concomitantly lifted by the use of an osseodensification protocol with Densah burs (Versah).15 After sinus grafting with Gen-Os (OsteoBiol), a particulate collagenated corticocancellous bone mix of porcine origin, a BEGO Semados RSX implant with a length of 13.0 mm and a diameter of 4.5 mm was placed. Another BEGO Semados RSX implant with a length of 13.0 mm and a diameter of 4.1 mm was placed into the first premolar region. In order to evaluate the remodelling process after ridge preservation with the dentine autograft histologically, a histological sample was harvested with a trephine bur from the first premolar region during implant preparation. Histological analysis revealed new bone formation in close contact with dentine particles and no signs of inflammation or fibrous encapsulation of the autologous augmentation material (Fig. 13). Immunohistochemistry was done in order to evaluate osteoblast differentiation and bone formation. New bone formation was confirmed by osteoblasts, being marked by antibodies against Osterix (Anti-Sp7/Osterix antibody, ChIP grade, ab22552; Abcam). All implants healed uneventfully during a period of four months.
Fig. 11: Clinical situation after a three-month healing period, displaying proper volume of the alveolar ridge in the maxilla.
Fig. 12: Clinical situation during second-stage surgery after flap elevation, displaying proper bone regeneration in the premolar area after ridge preservation with autologous dentine.
Figs. 13a & b: Histological images showing new bone formation in close contact with dentine particles.
Prosthetic treatment
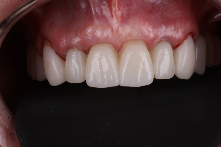
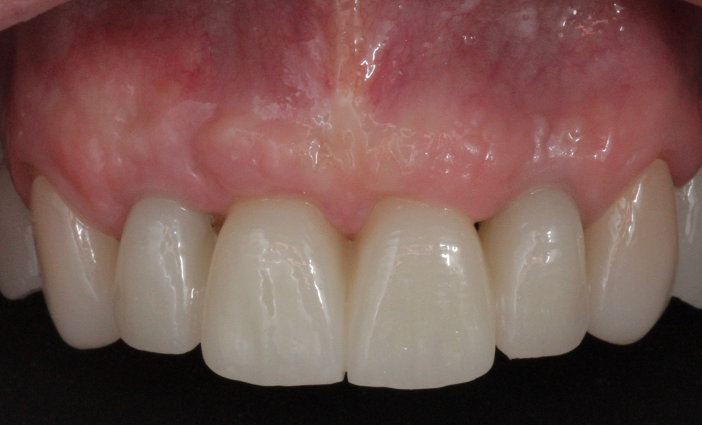
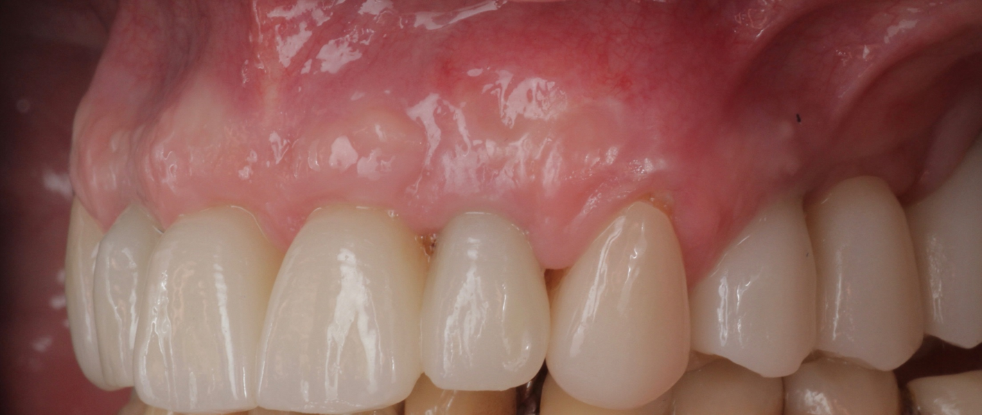
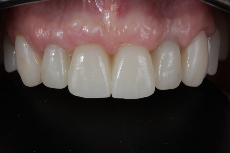
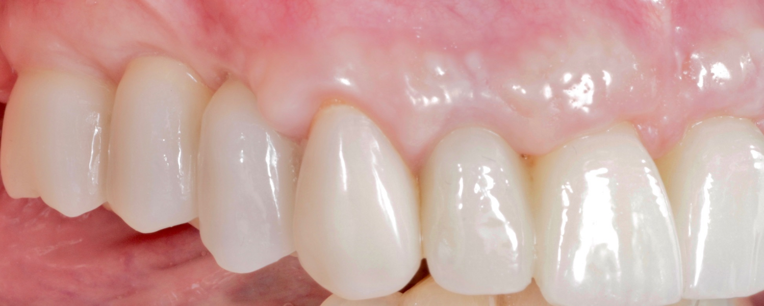
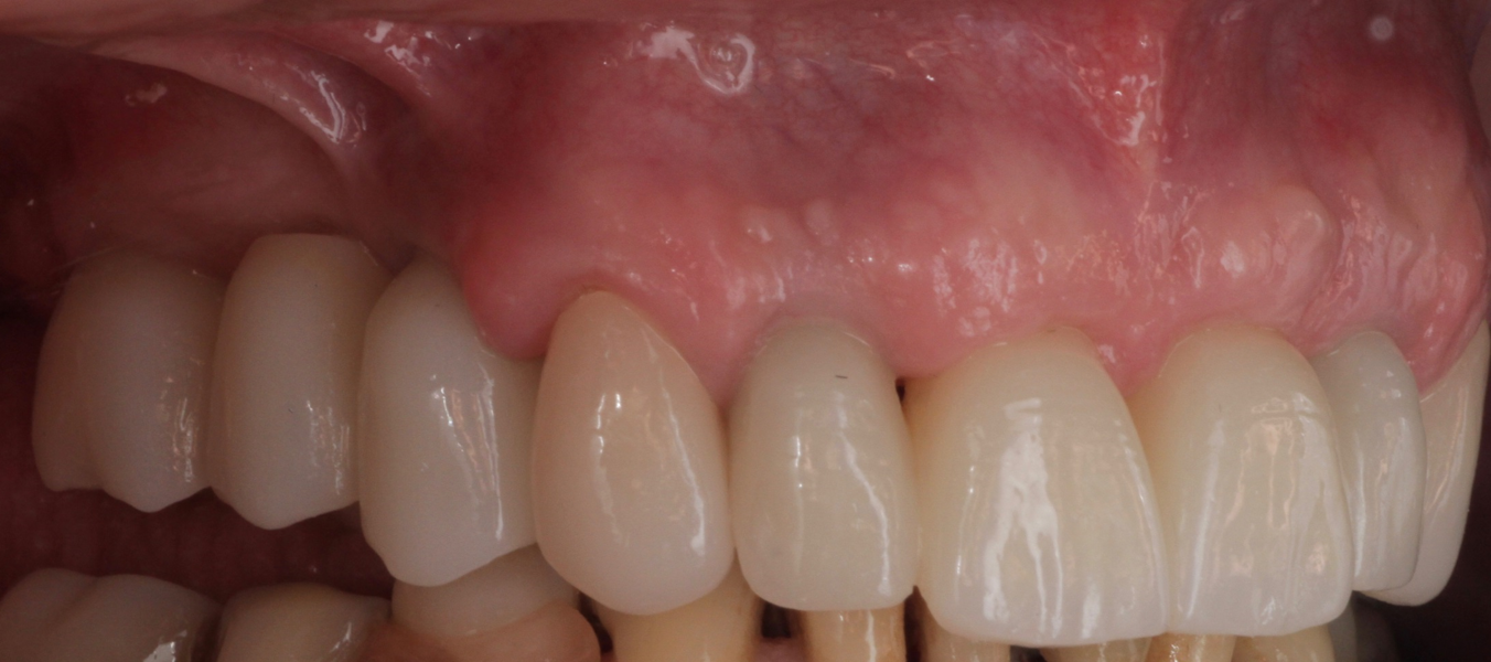
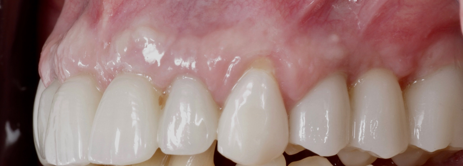
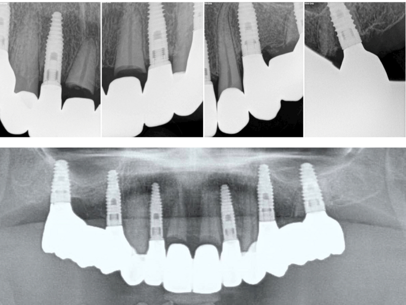
Definitive prosthetic treatment was performed after completion of implant healing with three CAD/CAM-fabricated monolithic zirconia bridges (DD cubeX2, Dental Direkt). The bridges were screwed on to BEGO titanium base abutments (Figs. 14–16). Good fit of the prosthetic superstructures was displayed in the radiograph after placement (Fig. 17). The two-year follow-up examination in July 2019 revealed excellent aesthetic and clinical soft-tissue conditions (Figs. 18–20). No radiographic bone loss had occurred at the implant sites (Fig. 21). Neither the submerged central incisors nor the distobuccal molar root displayed any signs of periapical inflammation, and the patient reported no complications. The patient’s oral hygiene had improved significantly during the follow-up period.
Fig. 14: Frontal aspect of the definitive prosthetic restorations, showing good aesthetic conditions with no signs of soft-tissue complications after insertion.
Fig. 15: Right lateral aspect of the restorations.
Fig. 16: Left lateral aspect of the restorations.
Fig. 17: Final radiograph with definitive prosthetic superstructures in place.
Fig. 18: Frontal aspect of the restorations after the two-year follow-up period.
Fig. 19: Right lateral aspect of the restorations after the two-year follow-up period
Fig. 20: Left lateral aspect of the restorations after the two-year follow-up period.
Fig. 21: Radiographic control after the two-year follow-up period, showing no visible bone loss at the implant sites and no signs of periapical inflammation at submerged roots.
Discussion
The key objective of the present treatment approach was maintenance of maximal ridge volume for both aesthetic and functional reasons as described in a recently published technical report.16 A staged approach using a few teeth to support a provisional fixed restoration during the healing process was applied for a number of reasons: (1) immediate implant placement after the extraction of hopeless teeth was contra-indicated in the premolar area owing to the poor periodontal state; (2) a fixed provisional prosthesis would enable soft-tissue conditioning during healing;17 and (3) surgical burden, postoperative morbidity and additional costs could be reduced for the patient through the application of partial extraction therapy, an osseodensification protocol for bone expansion, compaction and crestal sinus elevation, and autologous
dentine as augmentation material. Root submergence therapy of both central incisors was chosen in our patient case as the procedure of choice in order to avoid unfavourable buccal bone remodelling. Submerged root therapy is based on reports from the early 1940s that showed that fractured roots may be retained in the extraction socket without any pathological clinical symptoms if they are protected by epithelial gingival overgrowth.3, 4 Since the alveolar bundle bone and periodontal ligament are preserved, submerged root therapy appears to be a promising technique for ridge preservation in conjunction with conventional prosthetic treatment. The presence of the periodontal ligament seems to preserve a higher amount of surrounding hard and soft tissue, compared with conventional socket preservation techniques.6, 18 Reduction of root heights in order to maintain a sufficient soft-tissue thickness of 3 mm between submerged roots and the gingival margin and future pontic base, respectively, as well as dense primary closure of submerged roots with connective tissue grafts or fibrin membranes, seems to be a prerequisite for a rapid healing process and for successful submersion of root segments.19, 20 Hinze et al. demonstrated in a cohort study successful preservation of alveolar width and height by applying the socket shield technique in conjunction with immediate implant placement, producing no midfacial recession or increased probing depths.21 The main concerns with the socket shield technique still lie in the limited evidence, specifically the need for randomised controlled studies, in order to enable more evidence-based insights. Autogenous particulate dentine has gained attention as an alternative grafting material to autologous bone and bone substitutes. Despite the fact that dentine is an acellular matrix, bone and dentine are very similar in their biochemical structure, comprising mainly Type I collagen with growth factors like bone morphogenetic protein (BMP-2) and fibroblast growth factors.22, 23 The present histological and clinical findings after ridge preservation with autologous dentine are in line with the insights of clinical studies, including new bone formation, favourable wound healing and good dimensional stability.24, 25 Clinical aspects in connection with re-entry in the left posterior maxilla showed very good ridge dimensions after three months. The present clinical and histological results confirm suitability of particulate dentine autograft as augmentation material for ridge preservation, retaining adequate dimensional stability and holding osteoinductive and osteoconductive capacity.
In our present case, implant site preparation of the molar septum after partial extraction of the right maxillary first molar, as well as the simultaneous trans-crestal sinus elevation, could be performed by using the osseodensification protocol with Densah burs.26 Osseodensification has been shown to increase bone mineral density and bone to implant contact and to enhance primary implant stability, compared with standard drilling.27, 28 Nonetheless, this technique should be used with caution, because of a limited number of long-term studies.29, 12 The main concerns with the socket shield technique still lie in the technique sensitivity of this method and the need for randomised controlled studies in order to enable evidence-based insights and transfer of this technique into routine dental practice.30 However, the present case report encourages the application of different preservation procedures as alternative clinical methods for successful ridge preservation. Corresponding patient cases are intended for presentation in future publications.
Dental implants to replace missing teeth have become an integral part of current conventional dentistry. Accepted protocols now include two-stage delayed ...
In the first part of this article (published in CAD/CAM 1/2017) the different phases of diagnostics, planning and implantological treatment were presented. ...
Patients who visit our clinic and wish to receive prosthetic treatment are frequently unaware of the possibilities that modern medicine has to offer. ...
VIENNA, Austria: At EuroPerio11, which is currently being held in Vienna in Austria, GC will present a dedicated symposium focusing on the clinical ...
An adequate bone volume at the future implant site is a prerequisite for ideal implant placement and implant success. A residual bone with a vertical ...
On 16 September, Osstell will be holding its ISQ Online Symposium, presenting four scientific sessions and one panel discussion. One of the speakers at the ...
A free webinar on 19 June will offer participants an opportunity to learn about how to implement orthodontic treatment as a fundamental tool in the context...
LONDON, UK: New data released by the National Health Service (NHS) has painted a bleak picture of the state of oral health in children in the UK, with 322 ...
Team communication, treatment planning and execution represent the three pillars of interdisciplinary implant therapy. In a free webinar on 9 December, Dr ...
Education
Live webinar Wed. 22 April 2026 11:00 am EST (New York)
VIENNA, Austria: Beginning tomorrow, the International Osteology Symposium 2026 will bring together the global oral regeneration community at VIECON in ...
JINAN, China: 3D printing of lithium disilicate still faces challenges in achieving precise results. The material’s high transparency allows laser light ...
RIYADH, Saudi Arabia: While many artificial intelligence (AI) systems for dental diagnosis demonstrate high accuracy, their real clinical value depends on ...
To post a reply please login or register