Search Dental Tribune

Direct cuspal coverage with resin composite

The occlusal surface after surface modelling with CLEARFIL MAJESTY ES-2 Universal and initial polishing, occlusal view. (Image: Kuraray Noritake Dental)

Wed. 14. December 2022

save

In the context of treating a tooth with an extensive carious lesion, a biomechanical risk assessment should be performed. The primary method of reducing the likeliness of tooth fracture is treatment with a restoration that provides cuspal coverage. The gold standard for biomechanically compromised teeth is adhesively cemented overlays as an alternative to crowns.1 Another option that does not involve laboratory work is a direct overlay restoration.2–6 The direct approach is especially suitable for long-term temporisation, which may be required during orthodontic treatment, for example.

Clinical case

The 40-year-old male patient was referred to my office before an orthodontic and prosthetic treatment. Intra-oral examination (Figs. 1 & 2) revealed:

  • tetracycline discoloration;
  • multiple extensive composite restorations with marginal leakage;
  • primary and secondary carious lesions; and
  • significant mechanical weakness (mesio-occluso-distal cavities, cusp loss, cracks).7, 8
Fig. 1: Initial situation. Extensive mesio-occluso-distal composite resin restoration. (Image: Kuraray Noritake Dental)

Fig. 1: Initial situation. Extensive mesio-occluso-distal composite resin restoration. (Image: Kuraray Noritake Dental)

Fig. 2: Initial situation. Unacceptable contact points and palatal wall crack line. (Image: Kuraray Noritake Dental)

Fig. 2: Initial situation. Unacceptable contact points and palatal wall crack line. (Image: Kuraray Noritake Dental)

Fig. 3: Bitewing radiograph. Maxillary first molar with an overhang and negative profile of the distal wall. (Image: Kuraray Noritake Dental)

Fig. 3: Bitewing radiograph. Maxillary first molar with an overhang and negative profile of the distal wall. (Image: Kuraray Noritake Dental)

Based on a clinical and radiographic examination (Fig. 3), it was decided to restore the maxillary right first molar with a direct overlay, which would serve as a long-term temporary restoration for the duration of the orthodontic treatment. Once the local anaesthetic had been administered, a dental dam was placed in the upper right quadrant and the cusps of the affected first molar were reduced. For subgingival tooth preparation, the dental dam sheet was temporarily moved behind the maxillary second molar (Fig. 4). To obtain a good emergence profile of the restoration and a tight fit of the sectional matrix, a gingivectomy was performed with an electrical surgical knife (Fig. 5). The main advantages of a diathermic cut are instant tissue coagulation and haemostasis.9

In accordance with the European Society of Endodontology’s guidelines on the management of deep caries,10 the deepest part of the cavity was cleaned under full dental dam isolation (Nic Tone, MDC Dental; Fig. 6). Carious tissue excavation was carried out using round burs and then the enamel and dentine were air abraded with 50 μm aluminium oxide (MicroEtcher IIA, Danville Materials). Multiple cracks, penetrating through the enamel and partially the dentine, had occurred within the mesial and palatal walls. The presence of cracks crossing the amelodentinal junction is an absolute indication for cuspal coverage.8, 11

Fig. 4: Initial preparation involving reduction of the cusps and exposure of gingiva. (Image: Kuraray Noritake Dental)

Fig. 4: Initial preparation involving reduction of the cusps and exposure of gingiva. (Image: Kuraray Noritake Dental)

Fig. 5: Gingivectomy performed using an electrical surgical knife. (Image: Kuraray Noritake Dental)

Fig. 5: Gingivectomy performed using an electrical surgical knife. (Image: Kuraray Noritake Dental)

Appropriate dental dam isolation is essential in adhesive dentistry. Beyond the obvious advantage of a clean operation field uncontaminated by saliva and moisture, the dental dam contributes to keeping periodontal tissue at a distance from the respective tooth. In order to ensure both maximum retraction and sufficient space to work, the dental dam was inverted (introduced to the gingival sulcus) and stabilised using PTFE tape (Fig. 7). The mesial wall was restored using a blue Composi-Tight 3D Fusion matrix ring (Garrison Dental Solutions) and a medium standard sectional contoured metal matrix (TOR VM; Fig. 8).

Fig. 6: Dental dam newly placed in the interproximal area. Full isolation is essential for the excavation of the infected dentine in the deepest part of the cavity. (Image: Kuraray Noritake Dental)

Fig. 6: Dental dam newly placed in the interproximal area. Full isolation is essential for the excavation of the infected dentine in the deepest part of the cavity. (Image: Kuraray Noritake Dental)

Fig. 7: PTFE tape placement for improving isolation in the gingival area. (Image: Kuraray Noritake Dental)

Fig. 7: PTFE tape placement for improving isolation in the gingival area. (Image: Kuraray Noritake Dental)

Fig. 8: Mesial matrix fit. (Image: Kuraray Noritake Dental)

Fig. 8: Mesial matrix fit. (Image: Kuraray Noritake Dental)

Owing to its extensiveness and shape, the distal wall was more difficult to restore. The first attempt to adapt an elongated sectional contoured metal matrix (TOR VM) and a green Composi-Tight 3D Fusion matrix ring ended in failure (Fig. 9). The matrix was changed for a longer and more curved option (Fig. 10). The ring was replaced by a smaller Palodent V3 ring (Dentsply Sirona; Fig. 11). Owing to the depth of the carious lesion, an antibacterial adhesive system was used (CLEARFIL SE Protect, Kuraray Noritake Dental). It contains the MDPB monomer, which offers an antibacterial effect that lasts even after the hybrid layer formation.12–14 Furthermore, the fluoride included in the bond liquid intensifies the cariostatic mechanism of CLEARFIL SE Protect and supports the formation of “super dentine”.15

Fig. 9: Insufficient fit of the distal matrix. (Image: Kuraray Noritake Dental)

Fig. 9: Insufficient fit of the distal matrix. (Image: Kuraray Noritake Dental)

Fig. 10: New, longer and more curved matrix in place. (Image: Kuraray Noritake Dental)

Fig. 10: New, longer and more curved matrix in place. (Image: Kuraray Noritake Dental)

Fig. 11: Different matrix ring placed in the distal area. (Image: Kuraray Noritake Dental)

Fig. 11: Different matrix ring placed in the distal area. (Image: Kuraray Noritake Dental)

After polymerisation of the bonding agent, a nano-hybrid flowable composite resin (CLEARFIL MAJESTY ES Flow High) was applied in a thin layer. The proximal walls were restored using both packable (CLEARFIL MAJESTY ES-2 Universal) and flowable composite resin (CLEARFIL MAJESTY ES Flow Super Low; Figs. 12 & 13). Core build-up was performed with a bulk fill composite. The cusps were reconstructed freehand with the previously used CLEARFIL MAJESTY ES-2 Universal (Figs. 14 & 15). The universality of this product allows for good optical integration and blending with the adjusted tissue regardless of the colour of the underlying tooth structure. The fissures were gently highlighted using brown tints.

Fig. 12: Thin layer of CLEARFIL MAJESTY ES Flow High (Shade A2) applied on the cavity floor. The proximal walls were built up with CLEARFIL MAJESTY ES-2 Universal and CLEARFIL MAJESTY ES Flow Super Low (Shade A2). (Image: Kuraray Noritake Dental)

Fig. 12: Thin layer of CLEARFIL MAJESTY ES Flow High (Shade A2) applied on the cavity floor. The proximal walls were built up with CLEARFIL MAJESTY ES-2 Universal and CLEARFIL MAJESTY ES Flow Super Low (Shade A2). (Image: Kuraray Noritake Dental)

Fig. 13: Proximal walls build-up, palatal view. (Image: Kuraray Noritake Dental)

Fig. 13: Proximal walls build-up, palatal view. (Image: Kuraray Noritake Dental)

Fig. 14: Core build-up, palatal view. Freehand cusp coverage with CLEARFIL MAJESTY ES-2 Universal. (Image: Kuraray Noritake Dental)

Fig. 14: Core build-up, palatal view. Freehand cusp coverage with CLEARFIL MAJESTY ES-2 Universal. (Image: Kuraray Noritake Dental)

Fig. 15: Cusp coverage, occlusal view. (Image: Kuraray Noritake Dental)

Fig. 15: Cusp coverage, occlusal view. (Image: Kuraray Noritake Dental)

The initial polishing was performed with the dental dam still in place. The excess composite resin was removed with the aid of abrasive discs, diamond burs and a Brownie polisher (BAL, Nevadent). Pre-polishing and high-shine polishing were executed with TWIST DIA for Composite (Kuraray Europe) supported by a goat hair brush (Micerium; Figs. 16 & 17).

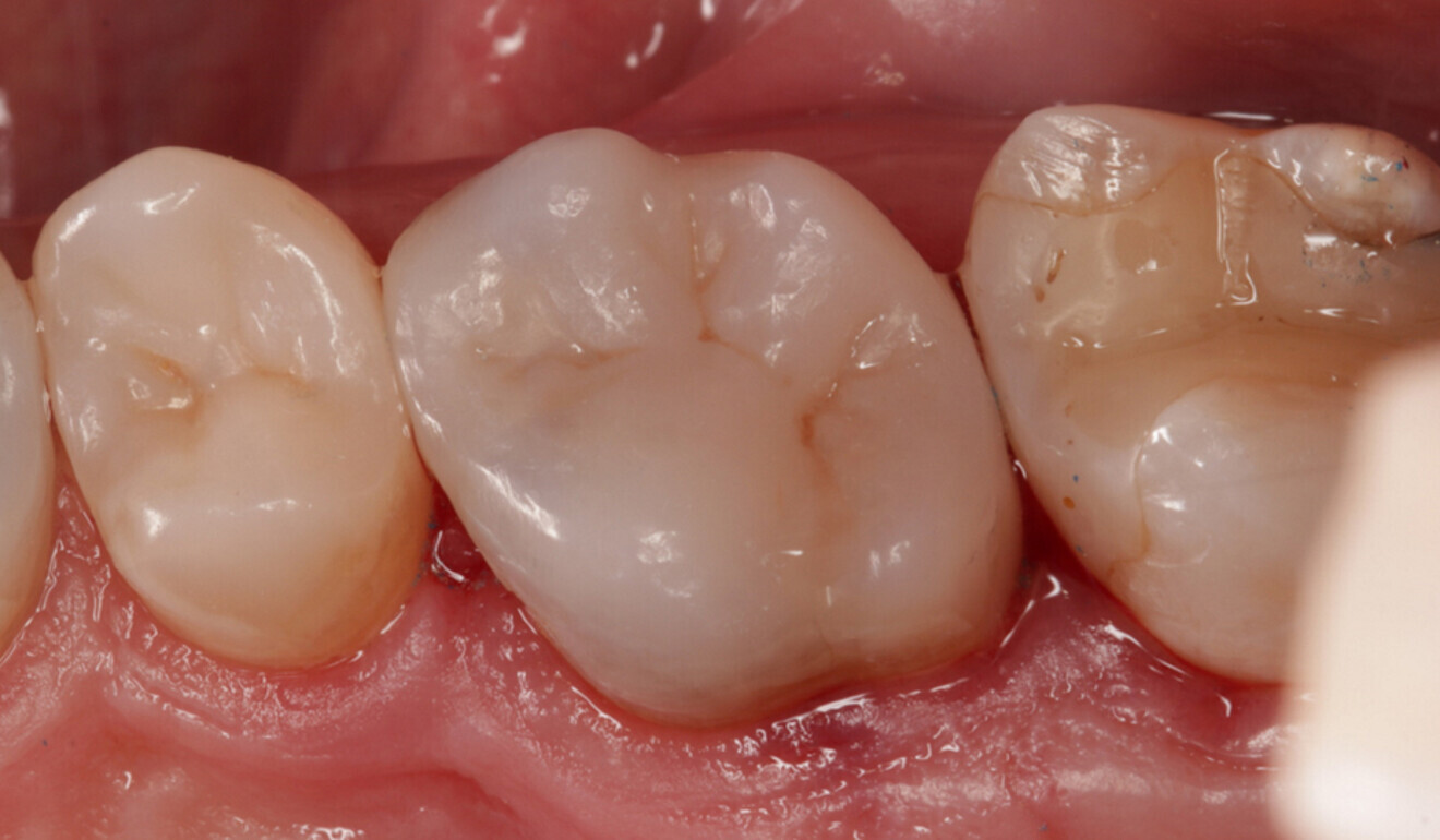
Fig. 16: Occlusal surface after surface modelling with CLEARFIL MAJESTY ES-2 Universal and initial polishing, occlusal view. (Image: Kuraray Noritake Dental)

Fig. 16: Occlusal surface after surface modelling with CLEARFIL MAJESTY ES-2 Universal and initial polishing, occlusal view. (Image: Kuraray Noritake Dental)

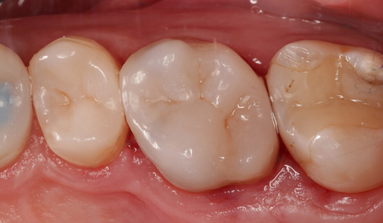
Fig. 17: Occlusal surface after surface modelling with CLEARFIL MAJESTY ES-2 Universal and initial polishing, palatal view. (Image: Kuraray Noritake Dental)

Fig. 17: Occlusal surface after surface modelling with CLEARFIL MAJESTY ES-2 Universal and initial polishing, palatal view. (Image: Kuraray Noritake Dental)

After removal of the dental dam, the occlusal contact points of the direct overlay were adjusted (Figs. 18 & 19). Every spot touched by the bur was subsequently repolished according to the previously described protocol (Figs. 20 & 21).

Fig. 18: Occlusal adjustment. Contact points recorded with articulating paper (100 μm). (Image: Kuraray Noritake Dental)

Fig. 18: Occlusal adjustment. Contact points recorded with articulating paper (100 μm). (Image: Kuraray Noritake Dental)

Fig. 19: Occlusal adjustment. Contact points recorded with articulating paper (100 μm) and articulating foil (16 μm). (Image: Kuraray Noritake Dental)

Fig. 19: Occlusal adjustment. Contact points recorded with articulating paper (100 μm) and articulating foil (16 μm). (Image: Kuraray Noritake Dental)

Fig. 20: Final effect after polishing with TWIST DIA for Composite. (Image: Kuraray Noritake Dental)

Fig. 20: Final effect after polishing with TWIST DIA for Composite. (Image: Kuraray Noritake Dental)

Fig. 21: Final effect, palatal view. (Image: Kuraray Noritake Dental)

Fig. 21: Final effect, palatal view. (Image: Kuraray Noritake Dental)

Conclusion

As a result of decades of improvements primarily with regard to filler density and polishability, modern dental composites now offer great gloss retention and favourable wear properties. In addition, polymerisation shrinkage has been decreased owing to the integration of nano-hybrid filler technology. These features allow the restoration of biomechanically compromised teeth using a direct restoration technique.

Direct overlays are a suitable alternative to a conventional indirect restoration in many situations.18, 19 According to research, the advantages of direct restorations with cuspal coverage include minimal tooth preparation, vital pulp-oriented treatment, the possibility of treating patients in a single appointment and a potentially reduced cost of treatment.18–20 However, it should be emphasised that the technique presented in this article requires advanced restorative skills to be properly implemented.

Editorial note:

A list of references is available from the publisher.

Tags:
To post a reply please login or register
advertisement
advertisement