3D printing has revolutionised modern dentistry, offering a cost-effective, versatile and efficient alternative to traditional fabrication methods. However, many dentists interested in adopting this technology face two common concerns: the high initial investment cost and the perception of the time and effort required to learn to use the technology. This article aims to demonstrate that 3D printing in conjunction with a digital workflow, from scanning with Medit intra-oral scanners to fabricating with the SprintRay 3D-printing system, is a viable and accessible option. It will highlight its clinical applicability, its potential return on investment and its ability to adapt to patients’ financial constraints.
Integrating a digital workflow
The digital workflow really begins at the first visit, with intra-oral scanning. The scanning process enables a completely digital approach from the first consultation, enabling the dentist to:
provide a complete view of the patient’s intra-oral situation;
analyse dental issues from a visual perspective, such as missing teeth and the effect of this on neighbouring teeth, and determine solutions (Fig. 1);
assess occlusion from both a static and dynamic point of view through the free movement of the mandible in dynamic scanning (Fig. 2);
identify areas of highest occlusal pressure and understand potential consequences such as fractures, wear and loss of function (Fig. 3);
reproduce and retrieve patient records at any time;
simulate a smile design;
develop printable resin models or transfer the scanned jaw to guided surgery software to subsequently print a surgical guide for accurate placement of implants (Fig. 4); and
design crowns, emergence profiles, night guards, Maryland bridges, provisional restorations (Figs. 5–7) and other custom appliances.
These digital possibilities are complemented by an interactive 3D presentation, allowing the patient to visualise his or her intra-oral situation in detail, understand his or her needs, and explore treatment options from the first visit. This approach ensures diagnostic accuracy, treatment optimisation and an informative experience for patients.
Fig. 2
Fig,. 3
Fig. 4
Fig. 5
Fig. 6
Fig. 7
Printing options with SprintRay 3D-printing resins: Versatility and cost-efficiency
The SprintRay 3D-printing system offers a wide range of resins designed to cover all clinical needs in the dental office. The following sets out several of the options among the 3D-printing materials available and the materials’ applications and properties.
SprintRay OnX Tough 2:
Designed for provisional implant restorations
Biocompatible, ideal for immediate loading of implants
Durable and aesthetic, allowing for prolonged use while peri-implant tissue stabilises
Composed of a polymer matrix reinforced with ceramic nanoparticles, classifying it as a nano-ceramic hybrid resin
Features NanoFusion technology for uniform distribution of the ceramic nanoparticles within the polymer matrix (8), ensuring superior mechanical properties, such as high flexural and fracture resistance, as well as a natural enamel-like translucency (Fig. 9)
SprintRay Ceramic Crown:
Suitable for definitive or provisional restorations, including complete and partial crowns, veneers, inlays and onlays
Offers ceramic-like strength at a significantly lower production cost
Can remain in the mouth for extended periods, depending on local regulations and the dentist’s clinical judgement (Fig. 10)
Nano-ceramic hybrid material with over 50% inorganic ceramic content, giving it superior mechanical and aesthetic properties
With the new pressure printer (Midas, SprintRay; Fig. 11), AI-designed crowns and veneers can be printed in just 5 minutes, allowing up to six crowns and nine veneers per printing cycle
Fig. 8
Fig. 9
Fig. 10
Fig. 11
SprintRay Temporary & Crown:
Developed for provisional restorations such as bridges and crowns of short and medium duration
Designed to provide comfort and aesthetics while planning definitive restorations, offering an economical provisional option
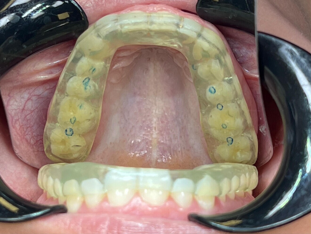
SprintRay Surgical Guide 3:
Designed for high-precision surgical guides (Fig. 12)
Reduces the risk of errors during complex implant procedures
Supports visualisation during surgery (Fig. 13)
Can be used to make custom healing abutments
SprintRay NightGuard Flex:
Designed for custom mouth guards, such as bruxism night guards (Fig. 14)
Provides superior strength and fit for an enhanced patient experience
Adapts to the teeth through the heat of the oral cavity, improving retention and comfort over time
Provides optimised hardness for complete resistance and comfort
Compatible with SprintRay’s cloud-based design system or Medit Splints software for intuitive and quick design (Figs. 15–17)
Fig. 15
Fig. 16
Fig. 17
Fig. 18
What profitability can be achieved with a 3D-printing system?
The initial cost of a high-quality 3D-printing system such as that of SprintRay ranges from €12,000 to €15,000, depending on the configuration and accessories included. However, this investment can quickly pay for itself thanks to the versatility of its applications and the cost reduction achieved by manufacturing directly in the clinic (Table 1).
In the example, the estimated total monthly profit amounts to €11,640, demonstrating that the initial investment in a SprintRay 3D-printing system can be recovered in just 1.5 months if used to its full capacity. For a new user, it is natural that it will take some time to reach full utilisation, but experience, motivation and proper training will significantly accelerate the return on investment, allowing for faster payback. Moreover, beyond the system’s financial benefits, it provides a strategic advantage by enhancing the clinic’s professional level and differentiating it from competitors.
Democratising dentistry with 3D-printed provisional or definitive restorations
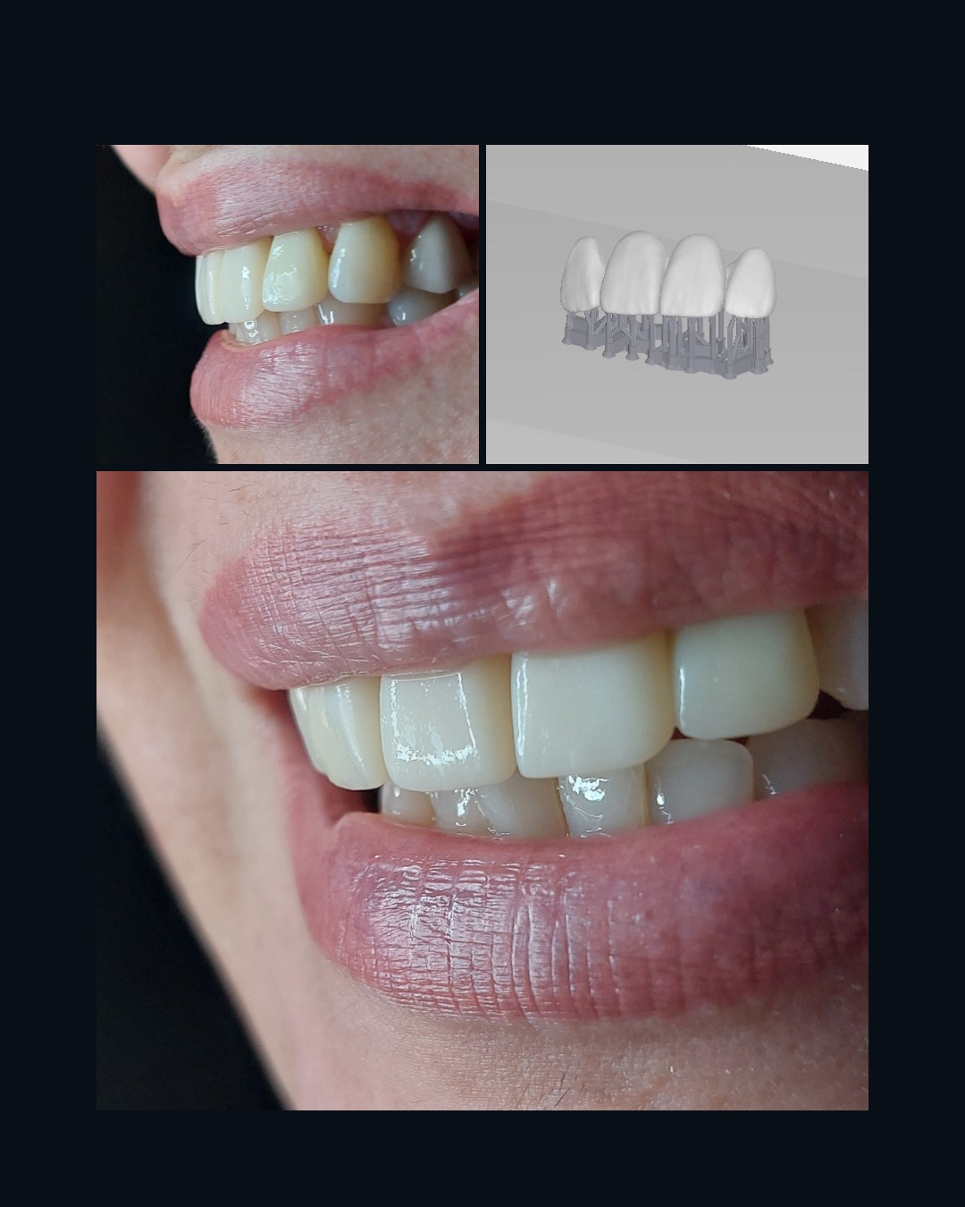
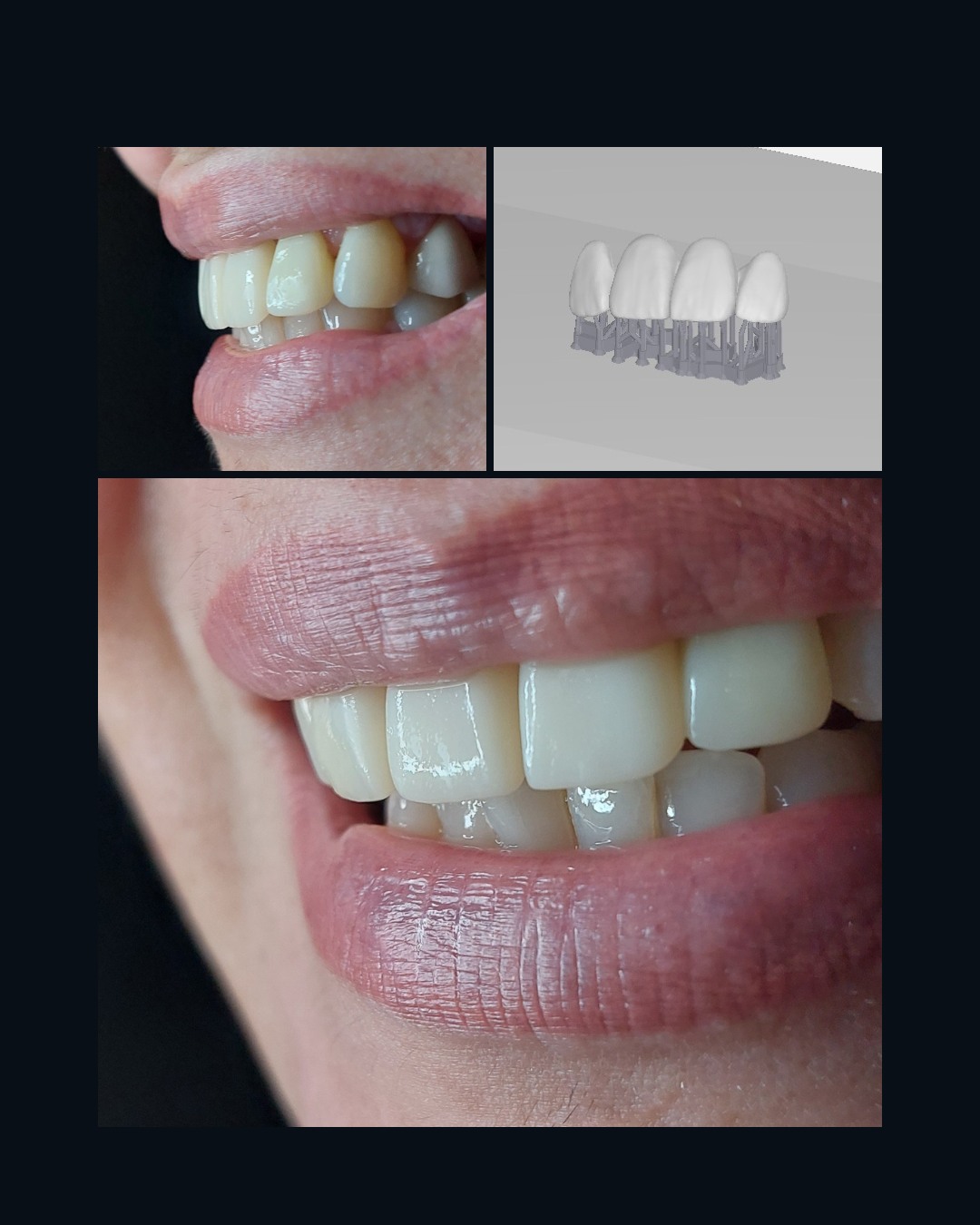
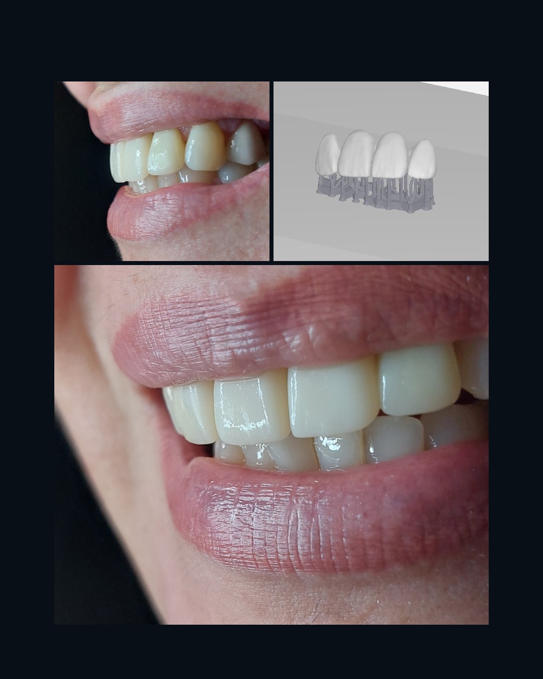
3D printing with SprintRay offers a revolutionary solution by enabling the manufacturing of high-quality, aesthetic dental restorations at low cost. This opens the door to more accessible dentistry without compromising on clinical standards. Advanced resins such as OnX and Ceramic Crown allow for fabrication of provisional and definitive crowns and bridges. These 3D-printed provisional restorations are ideal during the healing phase after implant surgery or while peri-implant tissue is stabilising.
Depending on local regulations and the practitioner’s judgement, they can remain in the mouth for months, providing functionality and aesthetics during a critical phase of treatment (Fig. 18). When financial constraints prevent patients from opting for definitive ceramic restorations, SprintRay resins offer an affordable, durable and visually acceptable alternative. Their use allows clinics to adjust their fees, taking advantage of the profit margins offered by 3D printing. This approach not only benefits the patient by reducing costs but also improves the cost-effectiveness and accessibility of the treatments offered by the clinic.
By offering long-term provisional or definitive restorations, according to the legislation in force in each country, it is possible to broaden the acceptance of complete treatments. This provides a viable solution for cases that might otherwise be rejected owing to financial constraints. In addition, dental professionals have the flexibility to maintain these restorations indefinitely or replace them with ceramic alternatives once the tissue stabilises or the patient’s financial situation allows.
Fig. 19
Conclusions on implementing a fully digital workflow
The integration of advanced technologies such as SprintRay and Medit into the dental practice offers a significant opportunity to stand out in today’s competitive marketplace. These tools facilitate the transition to a fully digital workflow, overcoming traditional barriers related to costs and learning.
SprintRay provides affordable 3D-printing solutions and a wide range of high-quality resins for the production of precise and aesthetically pleasing dental restorations. Medit intra-oral scanners, such as the Medit i700 and Medit i900, are known for their speed, accuracy and ease of use, essential factors for optimising clinical procedures and improving the patient experience (Fig. 19).
The adoption of these technologies not only democratises access to quality dental treatments but also allows for the offering of personalised solutions to patients with financial constraints. The ability to tailor restorations to patients’ specific needs and local regulations ensures greater flexibility and clinical success.
The following are key considerations for implementing and maximising a digital workflow:
Continuing training: Investing in training the dental team is essential for maximising the potential of these digital tools. Familiarity with the software and scanning protocols ensures a smooth and efficient transition. SprintRay’s protocol system allows the clinic team to be trained and to collaborate within the same workflow.
Workflow optimisation: Integrating intra-oral scanning and 3D printing into daily procedures can significantly reduce treatment times and increase the accuracy of restorations.
Treatment personalisation: Using digital design capabilities allows for the creation of treatment plans tailored to each patient’s needs and expectations, thereby improving both satisfaction and clinical outcomes.
Effective patient communication: Providing patients with digital visualisations of their proposed treatments can increase understanding and acceptance of the treatment plan, strengthening trust in the services offered.
Continual technological updates: Keeping up to date with innovations in dental technology ensures that the practice benefits from the latest improvements in efficiency and quality of care.
A fully digital workflow in the dental clinic not only transforms the dental practice but also improves patients’ quality of life by providing more precise, faster and more accessible solutions. Additionally, it benefits the clinic beyond cash flow improvements by optimising time management, reducing professional stress and minimising patient visits, ultimately enhancing the overall quality of life for the dental professional.
Patrick Thurm is the managing director and general manager for Europe at SprintRay, a young 3D printing company that opened its European branch office in ...
LOS ANGELES, U.S.: Technological advancements in dentistry are like a motor force that drives innovation and growth. This is true for digital dentistry. ...
Dental crown restoration is a common procedure in dentistry for damaged or weakened teeth. Traditionally, this process has required multiple visits to the ...
3D printing is here to stay, and it continues to be one of the major topics in dentistry. Just recently, Dental Tribune International had the pleasure of ...
In today’s busy life, patients may have trouble coordinating their work and home schedules when treatment requires multiple appointments. Typically, when ...
LOS ANGELES, US: SprintRay has announced the launch of the Pro S dental 3D printer product line in combination with RayWare Cloud and new SprintRay resins....
LOS ANGELES, US/COLOGNE, Germany: SprintRay is a digital dentistry company that offers chairside 3D-printing solutions, including for fabrication of crowns ...
LOS ANGELES, U.S.: SprintRay, a 3D printer manufacturer that focuses on digital dentistry, announced last week that it has commenced a partnership with the ...
Dentistry has undergone a remarkable transformation with the advent of 3D-printing technology. Gone are the days when patients had to endure multiple visits...
LOS ANGELES, US: As 3D printing in dentistry evolves to become industry standard, the need for access to more materials is critical. In a step that ...
Education
Live webinar Fri. 19 June 2026 9:00 am EST (New York)
To post a reply please login or register