Search Dental Tribune

Dental News

COVID-19 jab for oral health care workers: Protection against virus or condition of employment?

ALEXANDRIA, Va., U.S.: Months into the COVID-19 vaccine rollout, it is clear that, although millions of vaccines doses have been administered and ...

save

A-dec partners with Henry Schein Dental Warehouse in South Africa

MIDRAND, South Africa: A-dec are pleased to announce a new cooperation with Henry Schein Dental Warehouse aimed at better distribution of A-dec’s wide ...

save

COVID-19 surges among vaccinated health care workers

SAN DIEGO, U.S.: Administrative data from University of California San Diego Health (UCSDH) shows that, between June and July, a rapid increase occurred in ...

save

Interview: “ISQ is one of the key indicators for immediate loading when desired”

Dr William Martin will be one of four speakers at the upcoming Osstell ISQ Online Symposium on 16 September. Martin, who is a prosthodontist and clinical ...

save

Planmeca to acquire Envista’s KaVo treatment unit and instrument business

HELSINKI, Finland/BREA, Calif., US: As recently announced by Planmeca, one of the largest privately owned manufacturers in the dental field, has entered ...

save
advertisement

Graphene coating that releases antibacterial acid prevents formation of biofilm on dental implants

GOTHENBURG, Sweden: Biofilm formation on dental implants is a major challenge for dental professionals. It causes patients great inconvenience and entails ...

save

Planmeca: Achieving aesthetic success with digital workflows

HELSINKI, Finland: Brazilian prosthodontist Dr Thiago Ottoboni made the transition to digital dentistry a couple of years ago. Today, he uses digital dental...

save

Artificial neural network evaluation might help predict postoperative root canal treatment pain

WUHAN, China: Patients frequently suffer from postoperative pain, which is why information about precise medication is urgently needed by dentists today. In...

save

Clinics struggling to find dental hygienists, assistants

CHICAGO, U.S.: As they recover from the initial effects of the COVID-19 pandemic, many U.S. dental offices are being prevented from seeing more patients by ...

save

Interview: “Even the most experienced clinician is inconsistent—AI is not”

Dr Kyle Stanley is a specialist in implantology, founder of a company transforming patient care through artificial intelligence (AI) and a passionate ...

save

Join the digital revolution at the 3Shape Academy

COPENHAGEN, Denmark: As a market leader in 3D scanner and CAD/CAM software, 3Shape is committed to providing ongoing training, education and support for its...

save
advertisement

Kuraray Noritake – KATANA Zirconia HTML Plus

Thu. 2. September 2021

Characterized by the use of unique raw materials that correspond to high-speed sintering, improved translucency without compromising strength. This innovative material will truly empower your dental ...

save

Kuraray Noritake – KATANA Zirconia YML

Thu. 2. September 2021

The latest KATANA multi-layer disc with a well-balanced combination of color/translucency and flexural strength gradation. Long and complex geometries need ultimate strength, monolithic aesthetics,...

save

Interview: Procter & Gamble—commitment to advancing healthy oral care habits and sustainability

Celeste Giganti obtained her master’s degree in chemical engineering from the University of Palermo in 2004. She joined Procter & Gamble right after ...

save

Study finds teledentistry a valid substitute for in-person initial consultations

LONDON, UK: The COVID-19 pandemic has resulted in the widespread adoption of videoconferencing tools in many industries, and dentistry is no exception. A ...

save
advertisement

Ivoclar Vivadent invites dental professionals to join Live Experience Tour

SCHAAN, Liechtenstein: The global COVID-19 pandemic has partially shut down the global dental industry and restricted in-person meetings for over a year. As...

save

KATANA Zirconia HTML PLUS: Standardised procedures with outstanding outcomes

HATTERSHEIM AM MAIN, Germany: Using different zirconia materials owing to patient-specific needs and indications can allow for the best possible outcomes, ...

save

Oversubscribed dentistry degrees in England: Students offered payment to switch university

LONDON, UK: The UK government has adjusted the cap for medical and dentistry courses for 2021 in order to support the National Health Service workforce of ...

save

Kuraray Noritake – KATANA Zirconia

Mon. 30. August 2021

KATANA Zirconia YML – Revolutionary all-in-one disc design. Exceptional design flexibility is offered – from veneers to full-arch restorations. In each case, you may choose a monolithic, ...

save
advertisement

2021 GNYDM to only accept fully vaccinated attendees

NEW YORK, U.S.: The 2020 Greater New York Dental Meeting (GNYDM) went virtual owing to the pandemic, but its 2021 iteration is set to return to an in-person...

save

Quest for tooth whitening: Study reports extensive damage to dental cells by carbamide peroxide

TORONTO, Canada/LONDON, UK: As the quest for having whiter teeth continues, it is crucial to fully understand the extent of damage that tooth-whitening ...

save
advertisement
advertisement

Interview: “IDS will light the way for the whole dental industry”

From 22 to 25 September, Cologne will once again become the place to be for dental professionals when the 39th edition of IDS takes place. Mark Stephen ...

save

Interview: Understanding the timing of post-extraction implant placement

On 16 September, Osstell will be holding its ISQ Online Symposium, presenting four scientific sessions and one panel discussion. One of the speakers at the ...

save

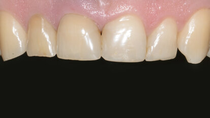
Aesthetic crown lengthening, exostosis removal and veneer restorations

A 31-year-old female patient presented to our care with esthetic concerns regarding the appearance of her gummy smile and bony protuberances above her ...

save

Colgate Oral Health Network celebrates a decade of service to dental professionals

NEW YORK, U.S.: Launched in 2011 and sponsored by Colgate-Palmolive, Colgate Oral Health Network (COHN) is the dental team’s one-stop resource for free ...

save
advertisement
advertisement