Search Dental Tribune

Dental News

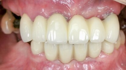
Effective strategies for managing late implant failure and peri-implantitis

Late implant failure, particularly in the aesthetic zone, presents significant clinical and biological challenges. This case report describes a digitally ...

save

Immediate implant placement into two molar sockets

Immediate placement of implants into fresh extraction sockets has been shown to deliver good outcomes. The literature reports good implant survival rates, ...

save

Novel digital workflow for full-arch rehabilitation

Modern dentistry is undergoing a technological revolution, driven by the integration of advanced digital tools in diagnostics, planning and treatment. Among...

save

Edentulous maxilla: Experts agree on clinical guidelines

BOSTON, US: Around 120 participants from 27 countries gathered in Boston from 16 to 18 June for a landmark moment in implant dentistry, the first ...

save

Clinical digital workflows for implant crowns

Single-unit and short-span restorations present clinicians with an excellent opportunity to utilise digital workflows. These high-accuracy appliances ...

save

Oral antiseptics can help to prevent recurrence of periodontitis—report

VIENNA, Austria: On 16 May at EuroPerio11, the Spanish Society of Periodontology and Osseointegration presented a new report on how antiseptic mouthwashes ...

save
advertisement

Celebrating the life of Prof. Brånemark, the father of modern dental implantology

KARLSHAMN, Sweden: Today marks ten years since the death of Prof. Per-Ingvar Brånemark, the Swedish physician and anatomist whose serendipitous discovery ...

save

Clinical success in guided full-arch rehabilitation using Smilecloud

Digital workflows in dentistry have revolutionised how clinicians approach complex procedures, enhancing precision, efficiency and patient outcomes. Among ...

save

Reshaping clinical practice through evidence-based, patient-centred guidelines

MILAN, Italy: The annual meeting of the European Association for Osseointegration (EAO) was held in Milan last week, and one of the highlights of the event ...

save

Details make perfection: Global experts push the boundaries of osseointegration at EAO 2024

MILAN, Italy: The annual European Association for Osseointegration (EAO) congress, starting today in Milan, is a premier platform for dental professionals ...

save

“It’s all about wound healing”

In the field of periodontics and implant dentistry, achieving optimal soft-tissue healing is critical to the success of surgical procedures. Board-certified...

save

“We should aim to minimise bone augmentation whenever possible”

Ahead of the European Association for Osseointegration (EAO) congress, Dr Giovanni Zucchelli, who is a co-chair of the scientific committee, spoke with ...

save
advertisement

3D-printed surgical guides to facilitate internal sinus lift

The possibility of replacing a tooth with a dental implant has considerably expanded the range of therapies in patients who are missing some or all of their...

save

Osstell ISQ Online Symposium 2024: Celebrating 25 years of innovation in dental implant stability

GOTHENBURG, Sweden: Osstell, the global leader in dental implant stability measurement and osseointegration progress monitoring, will be holding its 16th ...

save

Back scatter: Understanding the implications of radiotherapy for dental implants in head and neck cancer patients

OSLO, Norway: Head and neck cancer is the seventh-most diagnosed cancer group globally, and among its treatment modalities is radiotherapy, used as the ...

save

Implant placement in narrow spaces—a guided approach

Implant placement in spaces that are narrow in the mesiodistal dimension poses challenges related to the surgical aspect of treatment. This is further ...

save
advertisement

Osseointegration of the future with Osstem’s TSIII SOI implant

SEOUL, South Korea: For decades, researchers have sought to enhance the reliability and speed of implant osseointegration through innovations in design and ...

save

Maxillary full-arch implant-supported rehabilitation with a digital workflow: Two-year follow-up

Complete edentulism is an irreversible condition that is a known marker of disease burden for oral health.1 Edentulism significantly influences both oral ...

save

The transparent gingiva project IV

Digitalisation has penetrated the dental implantology field extensively, considerably changing how patients are treated. Widespread access to digital tools ...

save

Best for osseointegration: Second-generation vs third-generation autologous blood products

ALEXANDRIA, Egypt: Growth factor-containing products have long been studied as a way to enhance osseointegration. Researchers at Alexandria University have ...

save
advertisement

“The concept of ‘one size fits all’ cannot be applied to implant dentistry any more”

Because the long-term success of implant treatment depends on various factors, including oral hygiene, lifestyle habits and health conditions, it is vital ...

save

EAO–DGI joint meeting presents “Berlin reloaded”

BERLIN, Germany: The European Association for Osseointegration (EAO) and the German Association of Oral Implantology (DGI) are co-hosting a meeting at ...

save
advertisement

Neoss to host third Global Osseointegration Day on 3 May

On 3 May, Swedish implant manufacturer Neoss will be hosting its third annual webinar to commemorate the birthday of Prof. Per-Ingvar Brånemark, the father...

save

Osstem Implant to develop synthetic bone by 2026

SEOUL, South Korea: Specialists at the Osstem’s Bone Science Research Institute devote themselves to developing ways to regenerate bone and soft tissue by...

save

Novel biomimetic hydrogel may restore large jawbone defects

TEL AVIV, Israel: Reconstructing bone defects that are too large to heal spontaneously remains a great challenge for clinicians. Therefore, the development ...

save

EAO congress makes comeback in novel hybrid format

GENEVA, Switzerland: Having been held in a virtual format for the last two years, owing to the SARS-CoV-2 pandemic, the annual scientific meeting of the ...

save
advertisement

bredent – SKY fast & fixed

Wed. 14. September 2022

The formula for success in the dental practice

save

First hybrid edition of EAO congress will critically evaluate technological developments in dentistry

From 29 September to 1 October, the annual scientific meeting of the European Association for Osseointegration (EAO) will take place as an in-person event ...

save

A look into how Osstem created the world’s best-selling implants

SEOUL, South Korea: With more than 3,000 different implants and abutments, Osstem Implant has the most diverse implant portfolio in the world. According to...

save

OSSTEM Implant: “Our aim is to become a total service provider”

South Korea has one of highest rates in the world of the number of patients receiving implant surgery per 100,000 inhabitants, and Dr Kyoo-Ok Choi has ...

save
advertisement
advertisement